Table of Contents
Overview – Multiple Myeloma
Multiple Myeloma is a malignant plasma cell disorder arising in the bone marrow, leading to overproduction of monoclonal immunoglobulins and disruption of normal haematopoiesis. Commonly affecting elderly males, it presents with bone pain, anaemia, hypercalcaemia, and renal dysfunction. Early diagnosis and management are essential to prevent complications such as lytic bone lesions and pathological fractures.
Definition
- A plasma cell neoplasm characterised by clonal proliferation of malignant plasma cells in the bone marrow
- Associated with production of monoclonal immunoglobulins (M-proteins)
- Causes multi-system damage: bones, kidneys, marrow, immune system
Aetiology
- Unknown trigger; risk increases with:
- Age (typically >60 years)
- Male sex
- African ancestry
- Radiation exposure
- Precursor condition: MGUS (Monoclonal Gammopathy of Undetermined Significance)
Pathophysiology
- Overproduction of plasma cells → excess monoclonal Ig (often IgG or IgA)
- Reduced normal immunoglobulin production → immune suppression
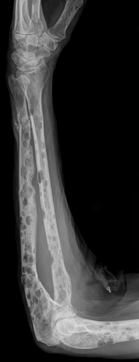
- Plasma cells activate osteoclasts → bone resorption → lytic lesions + hypercalcaemia
- Ig deposition in renal tubules → renal impairment
- Bone marrow infiltration → pancytopenia

Clinical Features
- Typically affects elderly males
- Symptoms:
- Bone pain (especially spine/ribs)
- Fatigue (anaemia)
- Recurrent infections
- Bleeding/bruising (due to thrombocytopenia)
- Signs:
- Pathological fractures
- Hypercalcaemia (nausea, confusion, constipation)
- Renal failure
- Weight loss
- Pallor or signs of infection
Investigations
- FBC: Normocytic anaemia ± pancytopenia
- Blood film: Rouleaux formation (stacking of RBCs)
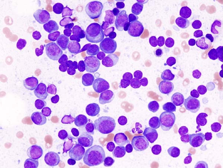
- Bone marrow biopsy: ↑ plasma cells (>10%)
- Serum/urine electrophoresis: Monoclonal spike (M-protein)
- Serum free light chains or Bence-Jones protein in urine
- UEC: Hypercalcaemia, ↑ creatinine
- ESR/CRP: Markedly elevated
- Skeletal survey or CT/MRI: Lytic bone lesions
- β2-microglobulin: Prognostic marker


Diagnostic Criteria (CRAB)
Presence of ≥10% clonal plasma cells in marrow or biopsy-proven plasmacytoma PLUS one or more:
- Calcium elevated
- Renal impairment
- Anaemia
- Bone lesions
Management
- Supportive care:
- RBC and platelet transfusions
- Antibiotics for infections
- Disease-modifying therapy:
- Chemotherapy (e.g. bortezomib, lenalidomide, dexamethasone)
- Radiotherapy for bone pain or plasmacytomas
- Bisphosphonates to inhibit osteoclasts
- Allogeneic or autologous bone marrow transplant (fit patients)
Summary – Multiple Myeloma
Multiple Myeloma is a malignancy of plasma cells characterised by monoclonal immunoglobulin production, bone destruction, and marrow failure. It commonly affects older adults and presents with bone pain, anaemia, infections, and renal dysfunction. Diagnosis is based on the CRAB criteria and confirmed with blood tests, bone marrow biopsy, and imaging. Treatment includes chemotherapy, bisphosphonates, and bone marrow transplant. For a broader context, see our Blood & Haematology Overview page.