Table of Contents
Overview – Osteoarthritis
Osteoarthritis (OA) is the most common form of arthritis, resulting from degenerative wear-and-tear of joint cartilage. This condition primarily affects older adults and commonly involves weight-bearing joints such as the knees, hips, and spine. Osteoarthritis is characterised by progressive cartilage erosion, bony overgrowth (osteophytes), and joint inflammation, ultimately leading to pain, stiffness, and reduced mobility. Early identification and supportive management can greatly improve function and quality of life.
Definition
Osteoarthritis is a chronic degenerative joint disease involving the progressive loss of articular cartilage and formation of new bone at joint margins (osteophytes).
Aetiology
- Primary: Age-related degeneration (“wear and tear”)
- Secondary: Prior joint injury, obesity, genetic predisposition, repetitive joint use
Pathogenesis
- Age-related ↓hydration of cartilage → less resistant to mechanical stress
- Cartilage erosion → exposure of subchondral bone
- Grinding between bone surfaces → mechanical damage
- Resultant inflammation and formation of osteophytes

Morphology
- Eburnation of bone – shiny, thickened subchondral bone
- Cartilage degeneration – roughened, thinned articular surface
- Osteophyte formation – “joint lipping” seen around joint edges
Clinical Features
- Epidemiology: Typically adults >40 years
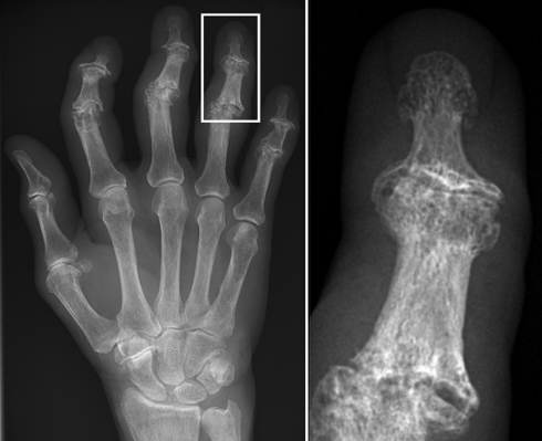
- Joint involvement:
- Large, weight-bearing joints: knees, hips, spine
- Small joints: DIP (Heberden nodes), PIP (Bouchard’s nodes), 1st MTP (bunions)
- Symptoms:
- Deep, aching joint pain
- Pain worsens with activity and cold, improves with rest
- Joint stiffness and crepitus
- ↓ROM, joint instability
- Muscle wasting around the affected joint
- Joint-line tenderness and palpable bony swellings

Investigations
- Bloods: Normal inflammatory markers (helps rule out inflammatory arthritis)
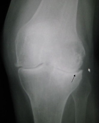
- Imaging (X-ray):
- Joint space narrowing
- Subchondral sclerosis
- Osteophyte formation (“joint lipping”)
- Varus deformity
- Possible ankylosis in late-stage disease


2.Mikael Häggström, M.D. – Author info – Reusing images- Conflicts of interest: NoneMikael Häggström, CC0, via Wikimedia Commons
Management
- Non-Pharmacological:
- Maintain physical activity and joint mobility
- Weight loss if appropriate
- Pharmacological:
- Simple analgesia: Paracetamol, topical NSAIDs
- Surgical:
- Joint replacement (e.g. total knee/hip replacement)
- Spinal fusion (for spinal OA)
Summary – Osteoarthritis
Osteoarthritis is a degenerative joint condition caused by cartilage wear and subchondral bone changes, leading to joint pain, stiffness, and reduced function. It is particularly common in the elderly and affects both large and small joints. Management focuses on pain relief, physical therapy, and surgical intervention when conservative treatment fails. For a broader context, see our Musculoskeletal Overview page.