Table of Contents
Overview – Benign Breast Masses
Benign breast masses are non-cancerous lumps that commonly present in females across various age groups. The most frequent types include fibroadenomas, phyllodes tumours, and intraductal papillomas. These masses are generally associated with minimal malignant potential but often require clinical evaluation to exclude more serious pathology. Recognition and differentiation of these entities is vital in both general practice and surgical rotations.
Definition
Benign breast masses refer to non-malignant proliferations within breast tissue, typically of stromal or ductal origin. Although they do not spread or metastasise, some may require excision to prevent recurrence or confirm diagnosis.
Fibroadenoma (“Breast Mouse”)
Aetiology & Pathogenesis
- Benign tumour of intralobular stroma (loose connective tissue)
- Often associated with mild acinar (glandular) proliferation
Morphology
- Firm, encapsulated, homogenous grey nodular mass
- Typically lacks cysts
- Freely mobile on palpation (“breast mouse”)
Clinical Features
- Most common benign tumour of the breast
- Usually affects women aged 20–40 years
- Often multiple and bilateral
- Detected via:
- Palpable mass
- Mammographic density or calcifications
- Size: usually <5cm
- Hormone-sensitive: may enlarge during pregnancy or HRT
- ~50% undergo spontaneous involution
- No risk of malignancy
Management
- Surgical excision is curative but often unnecessary


2. Fibroadenoma of the Breast, Lori A. Erickson, MD; Beiyun Chen, MD, PhD, DOI: https://doi.org/10.1016/j.mayocp.2020.08.040
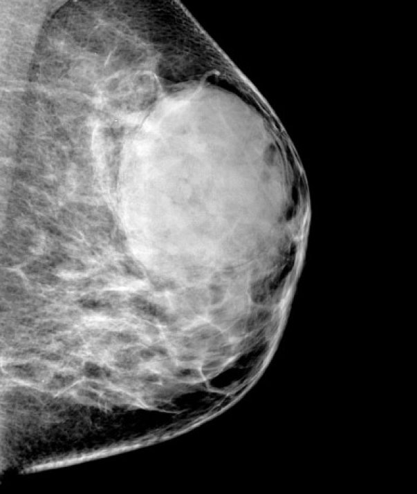
Phyllodes Tumour (Giant Fibroadenoma)
Aetiology & Pathogenesis
- Similar origin to fibroadenoma: benign tumour of intralobular stroma with glandular elements
- Common in older women (50–60 years)
Morphology
- Capsulated, firm, grey nodular mass
- Distinguished by “phyllodes” (leaf-like) clefts and slits
Clinical Features
- Typically benign but locally aggressive
- May recur without excision
- Can be premalignant, especially in older patients
- Expanding lesion without nipple retraction
- Metastasis is rare
Management
- Surgical excision recommended to prevent recurrence


2. Credit: https://radiopaedia.org/articles/giant-fibroadenoma

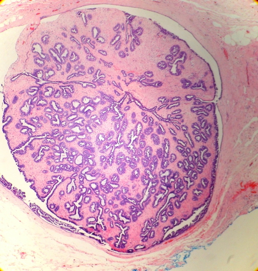
Intraductal Papilloma
Aetiology & Pathogenesis
- Benign epithelial tumour of a duct
- Forms papillary projections within a dilated lactiferous duct
Morphology
- Solitary, intraductal, papillary proliferation
- Usually occurs in lactiferous sinuses near the nipple (subareolar location)
Clinical Features
- Typically presents in middle-aged women
- Most common cause of bloody nipple discharge
- May present as a small, irregular subareolar lump
Management
- Core needle biopsy for diagnosis
- If confirmed:
- Excisional biopsy
- No further treatment required unless recurrent
Prognosis
- Generally benign
- Rarely progresses to malignancy
- May recur locally



2. Credit: https://sydneybreastclinic.com.au/patient-information/papilloma/
Summary – Benign Breast Masses
Benign breast masses such as fibroadenomas, phyllodes tumours, and intraductal papillomas are common, especially in premenopausal and middle-aged women. While fibroadenomas often resolve spontaneously, phyllodes tumours require excision due to recurrence risk, and intraductal papillomas may present with bloody nipple discharge. Timely evaluation and biopsy are key to ruling out malignancy. For a broader context, see our Reproductive Health Overview page.