Table of Contents
Overview – Fibrocystic Disease
Fibrocystic disease is the most common benign breast condition in women aged 20–40, characterised by hormonally driven acinar and fibrous hyperplasia. It typically presents with multiple bilateral breast lumps and cyclical discomfort. Although usually benign, the proliferative subtype is considered premalignant and may progress to ductal carcinoma in situ (DCIS) if left unmonitored.
Definition
Fibrocystic disease refers to a spectrum of benign, often hormone-sensitive changes in breast tissue, involving the development of cysts, fibrosis, and varying degrees of epithelial proliferation.
Aetiology
- Hormonal stimulation (primarily oestrogen)
→ Acinar and fibrous hyperplasia
→ Formation of cysts and fibrous tissue
Pathogenesis
- Oestrogen-driven proliferation of acinar and stromal components
- Leads to:
- Multiple, bilateral, irregular breast lumps
- May fluctuate with menstrual cycle (cyclical tenderness)
- Pathological subtypes:
- Non-proliferative: No epithelial hyperplasia → not premalignant
- Proliferative: Epithelial hyperplasia (>2 cell layers) → premalignant
→ May progress to atypia, DCIS, and eventually invasive cancer
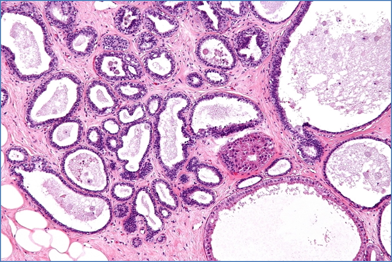
Morphology
- Grey-white areas of fibrosis
- Multiple fluid-filled cysts
- Epithelial changes (depending on subtype):
- Non-proliferative: Cysts only
- Proliferative: Papillary epithelial hyperplasia filling the ductal lumen


2.Nephron, CC BY-SA 3.0 <https://creativecommons.org/licenses/by-sa/3.0>, via Wikimedia Commons

Clinical Features
- Most common breast lump in women aged 20–40 (≈40% of cases)
- Multiple, bilateral, irregular nodular (“lumpy bumpy”) breasts
- Cyclical breast pain or discomfort
- On mammogram:
- Diffuse fibrosis
- Multiple cystic spaces
Proliferative Subtype
- Epithelial hyperplasia with >2 cell layers
- Risk of progression to dysplasia → DCIS → invasive cancer
- Requires histopathological evaluation
Investigations
- Mammography: Diffuse nodularity with cystic areas
- Ultrasound: Cystic vs solid lesions
- Core biopsy: Indicated in uncertain or proliferative cases
- Histology confirms proliferative vs non-proliferative subtype
Management
- Reassurance for typical non-proliferative cases
- Biopsy may be offered for diagnostic clarity
- Excision recommended if:
- Lesion is proliferative
- Atypical hyperplasia or DCIS is suspected
Summary – Fibrocystic Disease
Fibrocystic disease is a common benign breast condition driven by hormonal stimulation, particularly oestrogen. It typically presents as bilateral, mobile, irregular breast lumps with cyclical discomfort. While the non-proliferative type is harmless, the proliferative subtype carries premalignant potential and requires close monitoring or surgical excision. For a broader context, see our Reproductive Health Overview page.