Basal Cell Carcinoma

Overview – Basal Cell Carcinoma

Basal cell carcinoma (BCC) is the most common form of skin cancer worldwide, primarily caused by prolonged sun exposure. It originates from the basal cells of the epidermis and typically presents as slow-growing, locally invasive lesions. While it rarely metastasises, untreated BCC can cause significant local tissue destruction. Recognising early clinical signs and initiating prompt treatment is essential for preventing complications and optimising cosmetic outcomes.


Definition

Basal cell carcinoma is a slow-growing, locally invasive malignant tumour arising from basal keratinocytes of the epidermis. It is considered a non-melanoma skin cancer and is highly treatable with early intervention.


Aetiology

  • Chronic sun (UV) exposure
  • Fair skin types (Fitzpatrick I and II)
  • History of sunburns
  • Immunosuppression (e.g. organ transplant patients)
  • Ionising radiation exposure
  • Arsenic exposure
  • Genetic conditions (e.g. Gorlin syndrome)

Pathogenesis

  • UV radiation → DNA mutations in basal keratinocytes
  • Dysregulation of tumour suppressor genes (e.g. p53, PTCH1)
  • Proliferation of atypical basal cells → tumour formation
  • Invasion into surrounding dermal structures, but rarely beyond

Morphology

Gross

  • Superficial BCC:
    • Flat red/pink patches or shiny macules
    • Poorly defined borders
  • Nodular BCC:
    • Pearly, translucent papules or nodules
    • Overlying telangiectasia
    • Crusting or ulceration in larger lesions
  • Other findings:
    • Central ulceration (“rodent ulcer”) in advanced lesions
    • Visible blood vessels

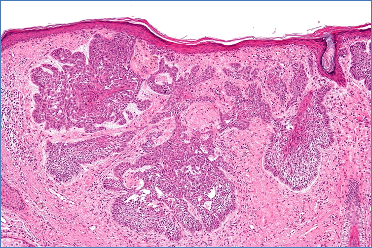
Microscopy

  • Clusters of blue-staining basal cells
  • Palisading nuclei (cells arranged peripherally like fence posts)
  • Cells invade deeply into the dermis
  • Pleomorphic basal cells with scant cytoplasm
  • Mucinous stromal background often present

Clinical Features

  • Most common skin cancer
  • Lesions often appear on sun-exposed areas: face, neck, scalp, ears
  • May bleed or ulcerate
  • Typically painless
  • Indolent but locally destructive if untreated
  • Rarely metastasises

Management

  • Excisional surgery: gold standard with histological margin control
  • Cryotherapy: for small, superficial lesions
  • Curettage and cautery: effective for low-risk lesions
  • Photodynamic therapy (PDT): particularly for superficial BCCs
  • Topical therapies: imiquimod or 5-fluorouracil in selected cases
  • Radiotherapy: option for inoperable or elderly patients

Summary – Basal Cell Carcinoma

Basal cell carcinoma is the most common and least aggressive form of skin cancer, driven by sun-induced DNA damage in epidermal basal cells. It presents in a variety of clinical forms, from superficial red plaques to pearly nodules with telangiectasia. Early recognition and treatment, most often surgical, offer an excellent prognosis. For more dermatological conditions, visit our Skin & Dermatology Overview page.

Shopping Cart
Scroll to Top